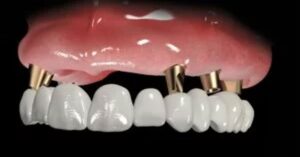
Protez Diş Tedavisi Nedir?
Diş kayıplarını telafi etmek amacıyla yapay dişlerin kullanıldığı sürece protez diş tedavisi denir. Çeşitli nedenlerle kaybedilenlerin yerine, estetik açıdan uygun yapay olanlar yerleştirilir. Tedavi, sabit veya hareketli protezler kullanılarak gerçekleştirilebilir. Sabit protezler, kronlar ve köprüler şeklinde olup, doğrudan implantlara bağlanır. Hareketli protezler ise çıkarılabilir ve bireyin ihtiyacına göre özelleştirilebilir.
Yazı İçeriği
Protez Diş Tedavisi Nedir? Kimlere Uygulanır?

Diş kayıpları hem estetik hem de fonksiyonel sorunlara yol açabilir. Eksik dişler çiğneme fonksiyonunu zorlaştırır ve konuşmayı etkileyebilir. Ayrıca zamanla çene yapısında değişiklikler görülebilir. Bu durum yüz görünümünü de olumsuz etkileyebilir. Diş eksiklikleri kişinin özgüvenini azaltabilir. Bu nedenle eksik dişlerin tedavi edilmesi önem taşır.
Diş kaybı yaşayan birçok kişi için protez diş tedavisi hem estetik hem de fonksiyonel açıdan önemli bir çözüm sunar. Bu tedavi, eksik dişlerin yerine yapay dişlerin yerleştirilmesini sağlar. Sabit ya da hareketli protez seçenekleri uygulanabilir. Tedavi planı hastanın ağız yapısına göre belirlenir. Çiğneme fonksiyonunun yeniden kazanılması hedeflenir. Aynı zamanda konuşma problemlerinin azalmasına da yardımcı olur.
Protez uygulamaları her yaş grubundaki hastaya uygulanabilir. Diş kaybı yaşayan kişiler en sık adaylar arasında yer alır. İleri derecede çürük veya diş eti hastalığı nedeniyle diş kaybı oluşabilir. Travma sonucu diş kayıpları da görülebilir. Bu durumlarda protez uygulamaları tercih edilir. Tedavi öncesinde ağız ve çene yapısı detaylı şekilde değerlendirilir. Gerekli durumlarda ek tedaviler uygulanabilir. Hastanın genel sağlık durumu da tedavi planlamasında dikkate alınır.
Tedavi sonrasında hastaların düzenli kontrollerini aksatmaması önemlidir. Protezlerin temizliği ve bakımı dikkatle yapılmalıdır. Doktorun önerdiği bakım kurallarına uyulmalıdır. Gerekli durumlarda protezlerde düzeltmeler yapılabilir. Düzenli kontroller tedavinin uzun ömürlü olmasına katkı sağlar. Tüm bu süreç doğru planlandığında protez diş tedavisi hastanın yaşam kalitesini artırır. Estetik açıdan daha sağlıklı bir gülüş elde edilmesine yardımcı olur.
Protez Diş Tedavisi Hangi Durumlarda Kullanılır?
Diş kaybı, ağız sağlığını ve günlük yaşam konforunu doğrudan etkileyen önemli bir sorundur. Eksik dişler çiğneme sırasında zorlanmaya neden olabilir. Konuşma sırasında bazı seslerin doğru çıkarılması da zorlaşabilir. Zamanla boş kalan alanlarda diş kaymaları görülebilir. Bu durum çene yapısının bozulmasına yol açabilir. Aynı zamanda estetik kaygılar da ortaya çıkabilir. Kişi gülümsemekten kaçınabilir ve özgüven kaybı yaşayabilir.
Diş kaybı birçok farklı nedenle ortaya çıkabilir. İleri derecede çürükler diş kaybına yol açan en yaygın sebeplerden biridir. Diş eti hastalıkları da dişlerin zamanla kaybedilmesine neden olabilir. Travma sonucu diş kırıkları veya kayıpları görülebilir. Ayrıca bazı kişilerde doğuştan diş eksikliği bulunabilir. Bu gibi durumlarda hastanın ağız yapısı ve ihtiyaçları değerlendirilerek uygun tedavi planı hazırlanır. Amaç, hem estetik görünümü hem de çiğneme fonksiyonunu yeniden kazandırmaktır.
Bu noktada protez diş tedavisi eksik dişlerin yerine fonksiyonel ve estetik çözümler sunar. Sabit veya hareketli protez seçenekleri tercih edilebilir. Tedavi yöntemi hastanın ağız ve çene yapısına göre belirlenir. Eksik dişlerin yerine yerleştirilen protezler çiğneme konforunu artırır. Aynı zamanda konuşma fonksiyonunun düzelmesine yardımcı olur. Doğru planlanan tedavi yüz estetiğinin korunmasına da katkı sağlar. Böylece hasta günlük yaşamında daha rahat ve özgüvenli hisseder.
Tedavi sonrasında ağız bakımının düzenli yapılması büyük önem taşır. Protezlerin temizliği ihmal edilmemelidir. Doktor kontrolleri düzenli olarak sürdürülmelidir. Gerektiğinde protezlerde küçük uyarlamalar yapılabilir. Bu sayede tedavinin kullanım süresi uzatılabilir. Düzenli bakım ve kontrol sayesinde hastalar uzun süre konforlu bir kullanım elde edebilir.
Protez Diş Tedavisi Yöntemleri Nelerdir?

Diş kayıpları hem estetik hem de fonksiyonel sorunlara yol açabilir. Eksik dişler çiğneme fonksiyonunu zorlaştırır ve konuşmayı etkileyebilir. Ayrıca zamanla çene yapısında değişiklikler görülebilir. Bu durum yüz görünümünü de olumsuz etkileyebilir. Diş eksikliği yaşayan kişiler günlük yaşamlarında rahatsızlık hissedebilir. Bu nedenle uygun tedavi yönteminin belirlenmesi önem taşır.
Günümüzde uygulanan yöntemler hastanın ihtiyaçlarına göre farklı seçenekler sunar. Sabit protezler, eksik dişlerin yerine kalıcı olarak yerleştirilen uygulamalardır. Hareketli protezler ise hasta tarafından çıkarılıp takılabilir. İmplant destekli protezler daha sağlam ve konforlu kullanım sağlar. Hangi yöntemin uygulanacağı, protez diş tedavisi planlamasında kemik yapısına ve diş eksikliğine göre belirlenir.
Tedavi yöntemleri belirlenirken hastanın genel ağız sağlığı önemli rol oynar. Diş eti hastalıkları veya çene kemiği kaybı gibi sorunlar varsa önce bu problemler tedavi edilir. Daha sonra uygun protez yöntemi seçilir. Tedavi sürecinde ölçü alınması ve deneme aşamaları bulunur. Bu aşamalar protezin ağız yapısına uyum sağlaması için gereklidir. Hastanın beklentileri de planlama sürecinde dikkate alınır.
Tedavi sonrasında protezlerin düzenli bakımı ve kontrollerin aksatılmaması gerekir. Günlük ağız hijyeni protez kullanım süresini uzatır. Doktorun önerdiği bakım kurallarına uyulması önemlidir. Zamanla oluşabilecek uyum problemleri kontroller sırasında giderilebilir. Düzenli bakım sayesinde protezler uzun süre konforlu şekilde kullanılabilir. Bu süreç, hastanın yaşam kalitesini artırır ve sağlıklı bir gülüş elde edilmesine yardımcı olur.
Protez Diş Tedavisi Sonrası Süreç Nasıldır?
Protez uygulaması tamamlandıktan sonra hastaların yeni dişlerine alışması belirli bir süre alabilir. İlk günlerde hafif hassasiyet ve baskı hissi oluşabilir. Bu durum genellikle kısa sürede azalır. Hastaların bu süreçte doktorun önerilerine uyması önem taşır. Özellikle ilk günlerde sert yiyeceklerden kaçınılması önerilir. Yumuşak gıdalarla beslenmek alışma sürecini kolaylaştırır.
Tedavi sonrası ağız hijyenine dikkat edilmesi büyük önem taşır. Protez kullanan kişiler diş ve ağız bakımını aksatmamalıdır. Günlük temizlik alışkanlıklarının düzenli sürdürülmesi gerekir. Hareketli protez kullanan hastalar protezlerini düzenli olarak temizlemelidir. Sabit protezlerde ise diş aralarının temizliği ihmal edilmemelidir. Ayrıca düzenli diş hekimi kontrolleri protezin uzun ömürlü olmasına katkı sağlar.
Bazı hastalar protez kullanımının ilk dönemlerinde hafif vuruk veya tahriş şikayetleri yaşayabilir. Bu durumda hekime başvurulması gerekir. Küçük düzeltmeler sayesinde kullanım konforu artırılabilir. Protezin doğru şekilde kullanılması ve bakımının yapılması uzun süre sorunsuz kullanım sağlar. Hastaların sabırlı olması ve alışma sürecine zaman tanıması önemlidir. Kısa süre içinde çiğneme ve konuşma fonksiyonları daha rahat hale gelir.
Tedavi sonrasında hastaların kontrollerini düzenli sürdürmesi önemlidir. Günlük bakım alışkanlıkları protezin kullanım süresini doğrudan etkiler. Doktor önerilerine uyulması olası sorunların önüne geçer. Zaman içinde ağız yapısında küçük değişiklikler oluşabilir. Bu nedenle belirli aralıklarla kontrol yapılmalıdır. Doğru bakım ve düzenli kontroller sayesinde protez diş tedavisi uzun yıllar konforlu kullanım sağlar. Hastanın yaşam kalitesini önemli ölçüde artırır.